In questa pagina troverete una panoramica delle possibilità che la moderna odontoiatria offre ai pazienti di tutte le età per migliorare il proprio sorriso, in un'ottica di salute e di armonia estetica.

Desideriamo rivolgere un ringraziamento particolare ai gentili pazienti che hanno dato il loro esplicito consenso alla pubblicazione delle foto che vedrete nelle prossime sezioni.

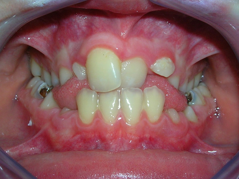
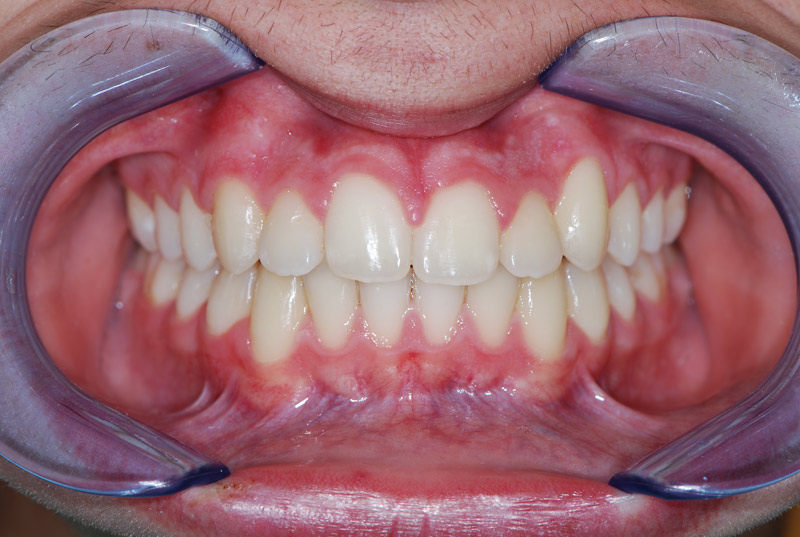
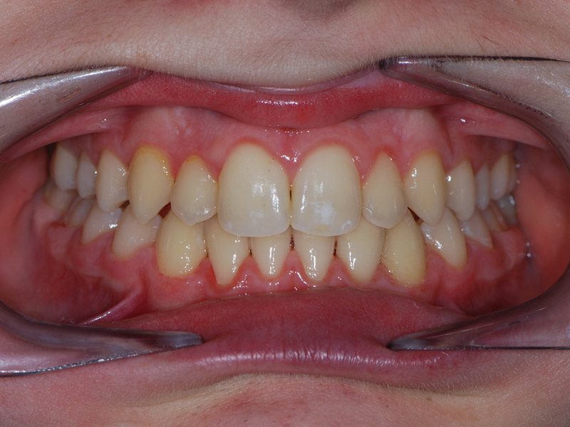
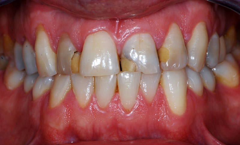
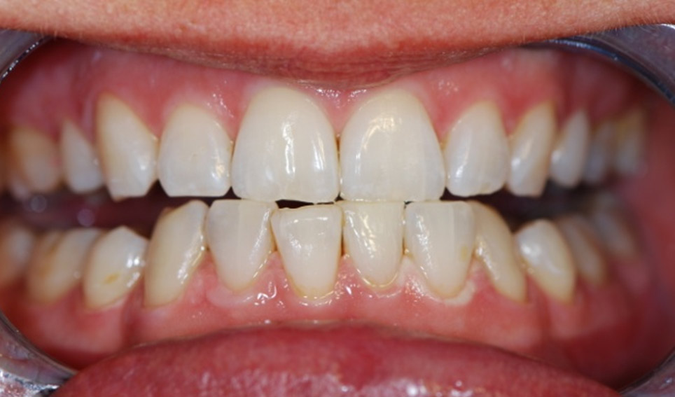
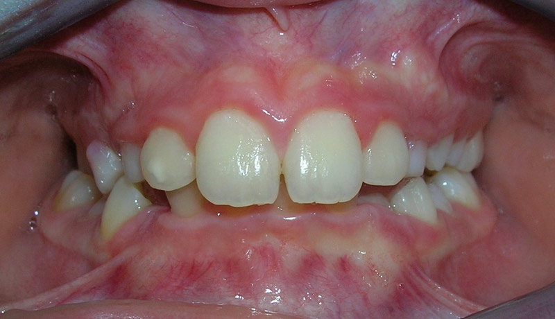
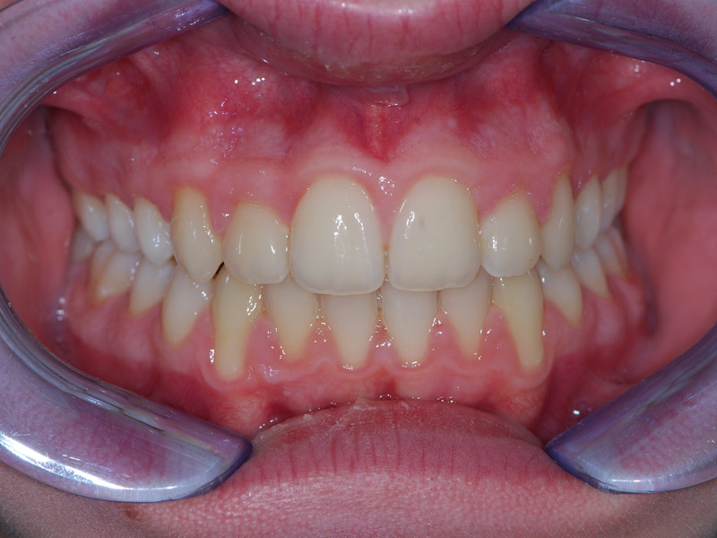
L'ortodonzia
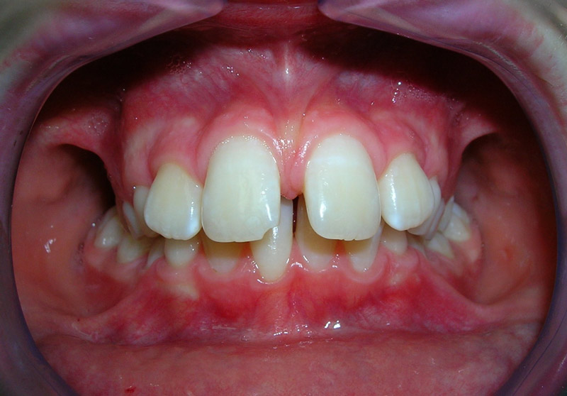
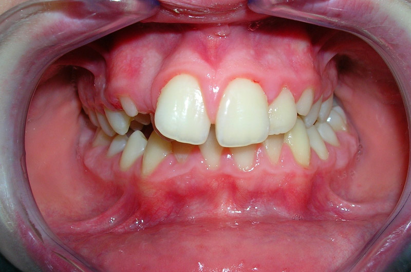
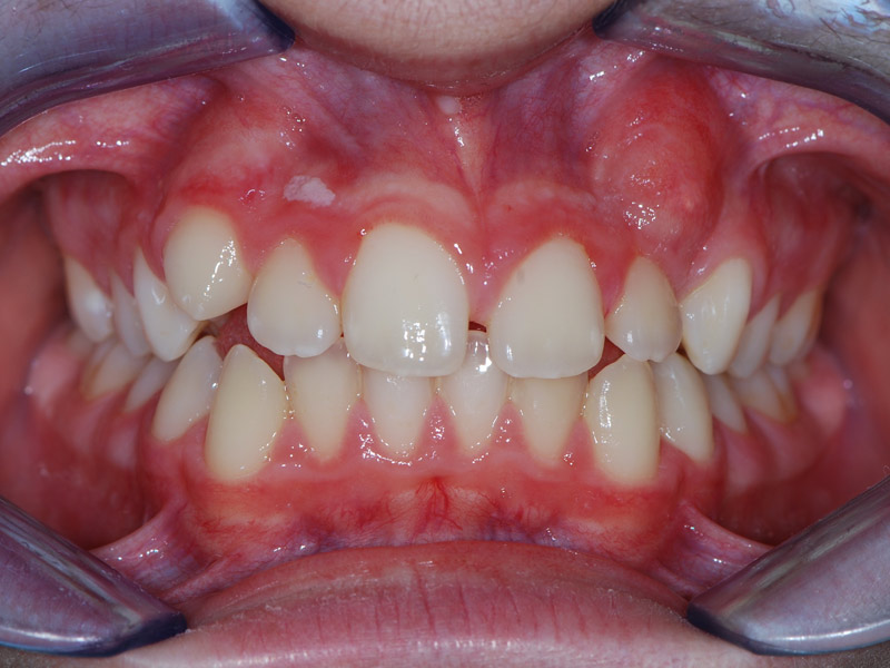
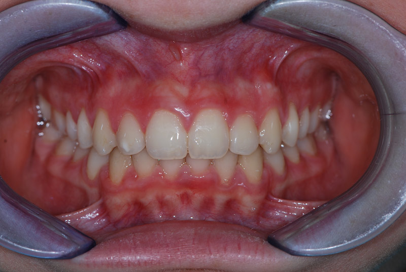
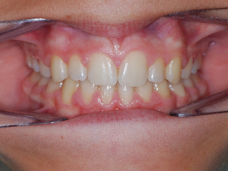
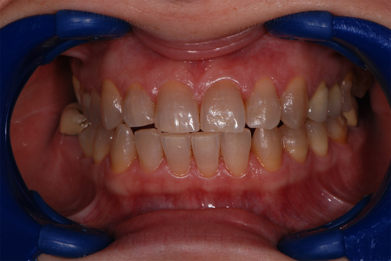
L'ortodonzia è la branca dell'odontoiatria che si occupa dello studio della crescita dell'apparato dento-maxillo-facciale e delle strutture ad esso correlate.
Un cattivo allineamento dentale comporta non solamente un’estetica insoddisfacente, ma una impossibilità a mantenere una corretta igiene orale.
La terapia comprende tutti i procedimenti preventivi, intercettivi e correttivi delle malocclusioni, utilizzando dispositivi funzionali o meccanici (detti comunemente "apparecchi") al fine di stabilire normali relazioni anatomiche e funzionali dei denti e delle loro basi ossee.
Anche nell’adulto si può intervenire ortodonticamente qualora sia necessario riposizionare elementi dentali per ragioni estetiche, protesiche, oppure per malocclusioni che possono provocare disturbi all’articolazione temporo-mandibolare.
Da tutto ciò risulta chiaro che l’ortognatodonzia è parte integrante della terapia riabilitativa dell’articolazione temporo mandibolare (ATM)
Il Dr Fabrizio Perret, specialista in ortognatodonzia e funzione masticatoria, collabora con osteopati, logopedisti, chirurghi maxillo facciali, per garantire una crescita armonica nel bambino.
     
L'ortodonzia L'ortodonzia
Vedi altri esempi    


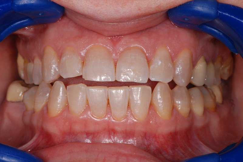
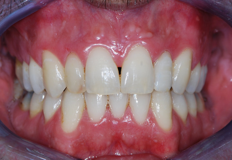
Lo sbiancamento
Le tecniche di sbiancamento sono molto efficaci e consistono nella applicazione di gel a base di perossido di carbamide sulla superficie dei denti. I prodotti di nuova generazione in commercio contengono anche fluoro, che permette di proteggere lo smalto. E’ importante farsi consigliare dal proprio dentista sulle possibilità di sbiancare il proprio sorriso, in maniera da conoscere bene il risultato che si può ottenere con questo tipo di trattamento.
     
Lo sbiancamento Lo sbiancamento
Vedi altri esempi    


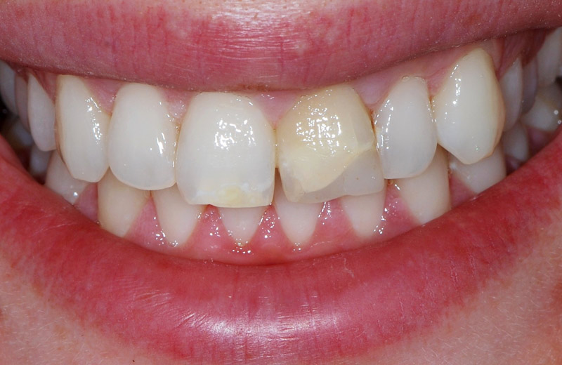
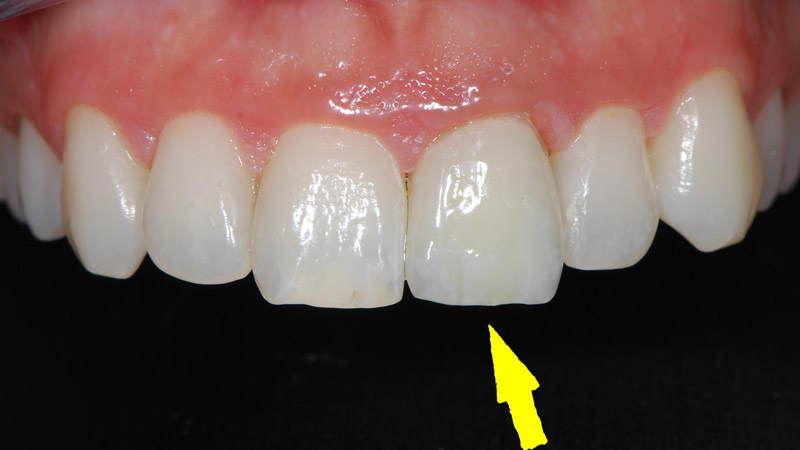
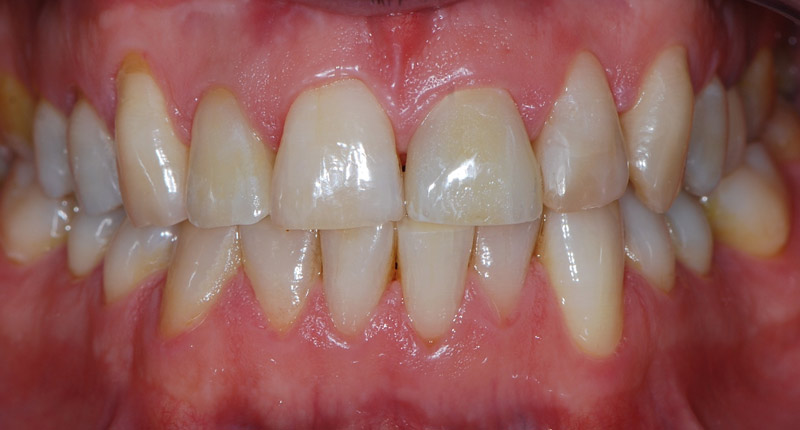
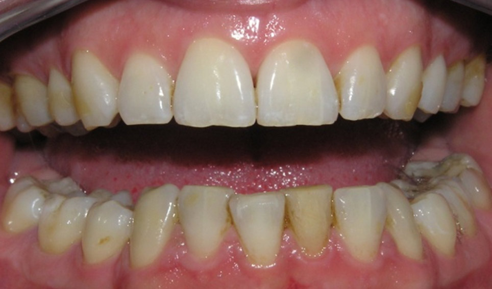
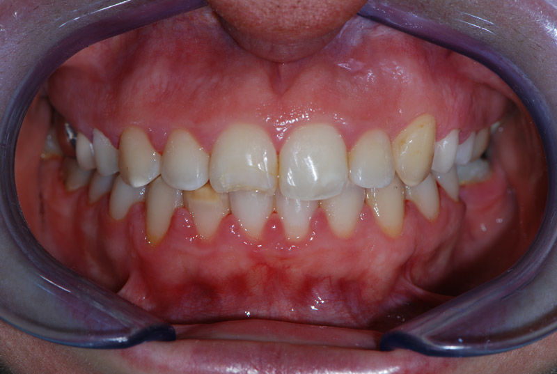
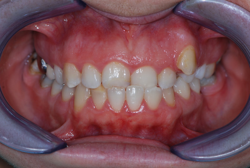
Le faccette in ceramica
Le faccette in ceramica rappresentano una tecnica poco invasiva, che permette di cambiare il nostro sorriso in breve tempo. E’ importante sottolineare che tale procedura viene riservata ai pazienti con esigenze estetiche e di durata nel tempo, per i quali una semplice tecnica di sbiancamento esterno o di odontoiatria restaurativa potrebbe non dare risultati soddisfacenti.

La fase operativa è sempre preceduta da un colloquio, da una accurata analisi estetica del caso e da una simulazione del risultato che si può ottenere. Una volta ottenuto il consenso del paziente viene limata solo la porzione superficiale dello smalto del/i dente/i, e dopo pochi giorni le faccette realizzate in laboratorio potranno essere applicate sui denti. Questa è una metodica che in pochissimo tempo ci permette di cambiare forma e colore dei denti e di creare uno splendido sorriso.
     
Le faccette in ceramica Le faccette in ceramica
Vedi altri esempi